Introduction
L’infection VIH est une maladie complexe qui, malgré son jeune âge, a fait beaucoup parler d’elle dans tous les domaines (médical, biologique…). La majeure partie des progrès réalisés ces dernières années en biologie moléculaire, en urologie ou encore en immunologie découlent, directement ou indirectement, de ce que l’on a appris sur le VIH. C’est également une infection complexe au sens de la société, au sens des relations entre êtres humains. Nous allons aborder ici un certain nombre d’aspects de l’infection VIH.
I ) Épidémiologie
1) Dans le monde
L’infection VIH concerne aujourd’hui plusieurs millions de personnes. Les derniers chiffres sont de 35 millions de personnes infectées.
L’énorme majorité des personnes infectées vivent en Afrique et en Asie.

La prévalence de l’infection VIH présente de nombreuses disparités, et notamment en Afrique Subsaharienne, où elle représente 4,7 % en moyenne :
- certains pays sont autour de 20% (au Sénégal, par exemple) ;
- d’autres pays sont entre 5 et 8 % (comme l’Afrique centrale, et notamment le Cameroun, par exemple) ;
- certains pays ou régions ont une prévalence représentant plus de 10 % de la population adulte, parfois atteignant jusqu’à 30 % des adultes.
2) Qui est concerné par le VIH France ?
En France, on compte environ 6100 nouvelles infections par an. Les chiffres montrent que le nombre d’infections a diminué par rapport au début des années 2000. Bien qu’il continue probablement de diminuer, le nombre d’infections reste tout de même énorme.
Le VIH n’est pas une maladie rare en France, puisqu’il concerne à peu près 150 000 personnes. Ce chiffre est quasiment le même depuis 15 ans. Cela ne signifie pas qu’il y a moins d’infections – au contraire, il y a beaucoup de nouvelles infections avec un nombre équivalent de décès –, mais qu’on a affiné petit à petit notre façon de déterminer ce chiffre. Ce chiffre aujourd’hui est plus proche de la réalité qu’il y a 10 ou 15 ans.
Sur ces 150 000 personnes, au moins 30 000 ignorent leur infection et contribuent donc à disséminer la maladie. Près d’un tiers des patients découvrent leur maladie avec une infection sévère, dans le cadre d’un déficit immunitaire majeur en lymphocytes CD4. Seulement 35 % (environ un tiers) des personnes découvrent leur infection VIH précocement, avec une immunité normale ou au stade de primo-infection.
Le gros problème du VIH est que le diagnostic n’est pas suffisamment précoce.
La précocité du diagnostic permettrait :
- d’éviter les décès, car malheureusement, parmi les patients qui décèdent, une bonne partie découvre l’infection à un stade tardif ;
- d’avoir un enjeu de prévention.
Les taux de prévalence en France sont de 169 pour 1 million. Les deux régions principalement touchées sont la région parisienne, qui représente presque 3 fois la moyenne française, et les Antilles (notamment la Guyane), avec une prévalence de 1,4%, ce qui représente plus de 1000 par million d’habitants. Ce résultat est très proche de ceux des pays africains.
3) Qui s’infecte en France aujourd’hui ?

Les six groupes les plus touchés par la contamination du VIH sont :
- les hommes ayant des relations sexuelles avec les hommes (groupe placé largement devant tous les autres) ;
- les femmes hétérosexuelles nées à l’étranger (qui sont massivement des femmes africaines) ;
- les hétérosexuels nés à l’étranger ;
- les hommes hétérosexuels français ;
- les femmes hétérosexuelles françaises ;
- les usagers de drogue : ils représentent aujourd’hui moins de 100 nouvelles personnes par an en France. L’infection VIH n’a pas complètement disparu chez les usagers de drogue, mais elle diminue de façon très importante, du fait qu’il est très facile pour eux de se protéger de ce virus.
La prévalence de l’infection VIH dans les milieux gays parisiens (nombre de cas d’une maladie dans une population à un moment donné, englobant aussi bien les cas nouveaux que les cas anciens ) est de 17,8 %. Ce taux est à peu près similaire à ceux que l’on retrouve dans les pays africains (15,3 % au Zimbabwe et en Namibie, 15,2 % en Zambie).
L’incidence (nombre de nouveaux cas sur une période donnée ) est de 7 % dans les milieux gays parisiens, ce qui signifie que sur un groupe de 100 HSH (hommes ayants des rapports sexuels avec d’autres hommes), 7 d’entre eux se verront infectés par le virus du VIH.
4) Transmission
Si le patient séropositif n’est pas traité, le VIH se transmet de trois façons seulement :
- Le sang
- 0,67 % pour un échange de seringue ;
- 0,32 % par exposition percutanée (pour un AES (accident exposant au sang) avec une aiguille ayant servi à un patient séropositif) ;
- 0,03 % par exposition cutanéo-muqueuse.
- Le sexe
- 0,1 % par rapport vaginal ;
- 0,62 % par rapport anal insertif ;
- 1,43 % pour un rapport anal sans éjaculation ;
- 2,85 % pour un rapport anal avec éjaculation ;
- 0,04 % pour une fellation réceptive (une personne négative faisant une fellation à une personne positive) : normalement, le VIH n’est pas transmissible dans la bouche puisqu’il n’y a pas de présence de sang, mais c’est la présence des amygdales et de leurs lymphocytes CD4 en contact avec le liquide séminal (sperme) qui nous donne ce risque d’infection faible.
- La transmission materno-infantile (16 % parmi tous les risques) :
- 20-25 % des risques liés à la grossesse ;
- 15 % des risques liés à l’allaitement.
Le baiser, quand à lui, ne représente pas réellement un facteur de risque. En effet, la présence d’ulcérations sanglantes dans la bouche peuvent être un facteur de risque, un baiser profond également, mais ces cas restent rares et extrêmes.
II) Virologie : organisation génomique du VIH
Le VIH est un virus à ARN ayant 3 niveaux clés. Il s’agit d’un virus composé d’un génome d’environ 10 000 nucléotides.
Le génome du VIH est organisé en plusieurs familles de gènes :
- le GAG (groupement antigène) : ce sont les protéines structurales, et notamment la principale protéine du virus, que l’on appelle protéine P24 ;
- la POL (polymérase) : ce sont les enzymes qui permettent au virus de se répandre, soit la protéase et l’intégrase. Ce phénomène s’appelle reverse transcriptase (en anglais) ou transcriptase inverse (en français) ;
- l’ENV (les glycoprotéines d’enveloppe) : sur le schéma, ce sont ces petites boursouflures que l’on observe à la surface du virus ;
- d’autres gènes jouent un rôle dans la régulation du virus et sont souvent en plusieurs fragments.
III) Origines du VIH
1) D’où vient le VIH ?
Comme beaucoup de maladies infectieuses, le VIH vient de l’animal. En effet, la plupart des maladies infectieuses sont des anthropozoonoses : elles viennent de l’animal. La tuberculose, par exemple, vient de la domestication du bœuf au néolithique. Le VIH, lui, vient du singe.
Les primates co-évoluent depuis des millions d’années avec une famille de virus : les lentivirus. Ces virus se sont adaptés très étroitement aux différentes espèces de primates, à tel point que, jusqu’à une époque très récente, chaque espèce de primate avait sa propre famille de lentivirus. Ces virus possèdent une reverse transcriptase/transcriptase inverse et font partie de la famille des rétrovirus. Chaque espèce de primate avait donc sa propre famille de rétrovirus, que l’on appelle SIV (simian immunodeficiency virus : virus d’immunodéficience simienne), excepté deux espèces de primates : le chimpanzé et l’homme.
Le chimpanzé est un primate supérieur omnivore et carnivore. Il se nourrit de petits vertébrés, de petits mammifères et éventuellement de petits singes.
Il y a quelques centaines de milliers d’années (pas très loin à l’échelle de l’évolution), le chimpanzé s’est infecté avec les SIV en mangeant deux espèces de petits singes. Ces virus, adaptés à ces petits singes, se sont recombinés et ont créé un seul virus : celui qui est devenu le SIV du chimpanzé.
2) Comment le SIV du chimpanzé a-t-il été transmis à l’Homme ?
Contrairement à ce que l’on a déjà pu lire et entendre, la transmission du VIH du singe à l’Homme n’est pas due à un délire zoophile, mais à la consommation de viande de brousse.
En Afrique, les personnes mangent ce qu’elles tuent et ont un appétit particulier pour certaines espèces (serpent, antilope, insectes, éléphant, singe…). C’est donc vraisemblablement par la consommation de viande de brousse que le SIV du chimpanzé a été transmis à l’Homme. Cette transmission n’est pas tant due à la consommation en elle-même, mais à la manipulation lors du dépeçage (coupures, plaies…).
Généralement, il existe ce que l’on appelle une barrière inter-espèces, ce qui signifie que les maladies infectieuses d’une espèce animale infectent rarement une autre espèce animale, sauf dans des circonstances exceptionnelles. Les passages du SIV du chimpanzé à l’Homme sont donc très rares, mais suffisants pour infecter l’Homme. C’est donc ainsi que le SIV du singe est devenu le VIH de l’Homme.
3) Comment a-t-il été possible de déterminer cette transmission ?
C’est la biologie moléculaire qui pu établir les différences entre les génomes et toutes les souches de VIH circulant chez l’Homme. Ainsi, on a pu calculer où était le point de départ de ces souches divergentes, et quand elles avaient commencé à diverger. Les passages du singe à l’Homme se sont produits au début du 20ème siècle.
Par la suite, d’autres incidents de passage trans-espèces ont eu lieu, avec un autre singe d’Afrique de l’Ouest : le mangabey à queue de cochon (sooty mangabey). Le passage s’est également fait par la consommation de viande de brousse. Le virus transmis était le propre SIV du singe en question, on l’a donc appelé VIH2.
Ce virus est très proche du VIH1, qui représente 98-99% des infections dans le monde. Le VIH2, lui, est quelque peu différent, cela se voit notamment sur les tests biologiques. Aujourd’hui, les tests sérologiques sont adaptés à ce virus et sont capables de le détecter. Par contre, les techniques de charge virale du VIH1, qui détectent très bien tous les virus, ne détectent pas du tout le VIH2.
Enfin, un dernier SIV est passé du singe à l’homme : le SIV du gorille. Il a donné un VIH très particulier, appelé sous-type O. Ce virus est presque exclusivement présent en Afrique centrale et est extrêmement rare. Les tests sérologiques ne savent pas le dépister ou très mal (il est nécessaire de faire de la virologie complexe pour le mettre en évidence).
Le VIH1 et le VIH2 donnent donc la même maladie, sauf que le VIH2 est plus lent : il faut 10 ans en moyenne au VIH1 pour arriver au stade SIDA ; 20 ans au VIH2.
IV) Fonctionnement du VIH

1) Infection
Tout d’abord, le virus du VIH infecte des cellules exprimant des récepteurs bien particuliers, adaptés aux petits « boutons » présents à sa surface, appelés glycoprotéines de surface.
La glycoprotéine 120 est adaptée aux récepteurs présents sur certaines cellules humaines, et notamment au récepteur CD4. On retrouve ce dernier sur les lymphocytes CD4, ainsi que sur les cellules dérivées des macrophages et des monocytes. Pour que le virus entre dans la cellule, elle doit obligatoirement contenir cette molécule CD4.
En se fixant sur la molécule CD4, la protéine permet au virus de s’internaliser : la partie interne du virus entre dans la cellule. De plus, l’ARN (acide nucléique) du virus va subir un phénomène assez unique : la transformation et recopie de cet ARN sous forme d’une copie carbone d’ADN.
2) Intégration
Pour créer une protéine dans une cellule, l’ADN contenue dans celle-ci est recopié par les mécanismes cellulaires sous forme d’ARN messager. Ces ARN messagers sont décodés pour donner des protéines.
Le VIH, lui, est capable de se recopier en ADN. C’est d’ailleurs la seule famille de virus capable de le faire dans le monde vivant. En effet, le VIH dispose d’une enzyme particulière appelée transcriptase inverse, qui est d’ailleurs uniquement utilisée par le VIH et le virus de l’hépatite B.
Cette dernière est codée par le virus et, à partir de l’ARN du virus, crée une copie carbone d’ADN proviral. Cette copie peut donc ensuite pénétrer à l’intérieur du noyau du lymphocyte CD4 afin de s’emparer de l’ADN présent, puis de s’infiltrer dans un chromosome au hasard (elle l’ouvre, entre à l’intérieur, puis le referme). Ce phénomène est appelé l’intégration.
Dès que l’ADN proviral est intégré dans le génome humain, il commence à se multiplier. Il est impossible de s’en débarrasser car aucun médicament ou mécanisme n’est encore capable de l’en faire sortir.
3) Multiplication
D’abord, le virus fabrique une grande protéine qui se positionne le long de la membrane cellulaire. Ensuite, une deuxième enzyme, la protéase, déjà présente sur la membrane cellulaire, vient se coller sur la protéine. Cette dernière coupe la polyprotéine afin d’amorcer le bourgeonnement du virus. C’est ce mécanisme de découpe qui permet au virus de sortir de la cellule, enveloppé par une membrane cellulaire, et d’aller infecter d’autres cellules.
L’infection d’une cellule correspond à une invasion par plusieurs dizaines de nouveaux virions, et à la mort de la cellule infectée.
Tous les virus ont besoin d’une cellule pour se reproduire, mais chaque virus l’utilise différemment.
4) Quelques chiffres
– Le phénomène d’intégration prend deux jours grand maximum, c’est-à-dire que dès lors qu’un rapport non protégé a eu lieu, le virus met deux jours à s’intégrer. Passé ces deux jours, il y a infection et donc séropositivité.
– Le cycle de multiplication prend seulement un jour. Un patient séropositif standard fabrique entre 1 et 10 milliards de nouveaux virus chaque jour.
V) Conséquences du virus
1) La dissémination du virus dans l’organisme
Le virus du VIH se dissémine très rapidement dans tout l’organisme. Au départ, l’infection se fait par un virus (voire deux ou trois, grand maximum), mais en quelques semaines à peine, on retrouve ce virus dans tout les tissus et organes (le cerveau, le foie, les reins…).
Cette phase initiale de dissémination du virus dans l’organisme porte le nom de primo-infection. Elle peut être symptomatique ou non : fièvre, céphalées, éruptions, angines, douleurs abdominales, etc.
Dans tous les cas, bien que le VIH ne soit pas visible à ce moment-là, les patients sont très contagieux, parce que des quantités astronomiques de virus sont présentes. Les semaines suivant la phase de primo-infection sont la période où le virus fera le plus grand nombre de dégâts dans l’organisme du patient.
2) La destruction des défenses immunitaires
La deuxième conséquence de l’infection par le VIH est la destruction des CD4. En moyenne, un patient séropositif standard renouvelle et détruit totalement le stock de CD4 de son organisme en 15 jours.
Les lymphocytes CD4 sont un élément central de l’immunité : on les appelle lymphocytes helper. Ils aident par exemple les lymphocytes B (les plasmocytes) à fabriquer les anticorps adaptés aux différentes infections. Ils interagissent également avec toutes les cellules du système immunitaire.
Or, la destruction totale ou trop importante des lymphocytes CD4 est problématique, car elle entraine un déficit immunitaire aussi bien par la destruction de l’immunité cellulaire mais également par la destruction de tous les autres types d’immunité.
De ce fait, des infections opportunistes feront leur apparition, c’est-à-dire des infections dues à des microbes, des bactéries, des virus, des parasites, des champignons, etc. Lorsque l’immunité est normale, ces infections sont contrôlées, mais le manque de CD4 et donc d’immunité fait que ces infections sont plus sévères. La plus sévère d’entre elles est d’ailleurs le stade SIDA.
- 48 heures au virus pour s’intégrer ;
- 15 jours au virus pour détruire tous les CD4 de l’organisme.
3) Le double phénomène de l’infection VIH
En l’absence de traitement, l’infection VIH est dominée par un double phénomène :
- le virus se multiplie et détruit les CD4 en permanence ;
- l’organisme essaie de compenser les dégâts et de refabriquer ces CD4.
Tant que ces deux phénomènes fonctionnent à peu près à la même vitesse, il demeure un certain équilibre. Néanmoins, si la multiplication du virus et la destruction des CD4 dépasse les capacités de l’organisme à les refabriquer, le stock des CD4 va diminuer petit à petit jusqu’à aboutir à un déficit immunitaire.
4) L’histoire naturelle de l’infection VIH

- La contamination : on ne voit rien durant les premières 48 heures, qui sont nécessaires et suffisantes au virus pour s’intégrer.
- L’intégration et la multiplication : le virus progresse de façon exponentielle. Comme le patient ne dispose pas encore d’immunité biologique contre le VIH, le virus se reproduit très rapidement et en très grand nombre, avec des charges virales pouvant être supérieures à un million de copies.
- La primo-infection : à ce moment-là, des réactions immunitaires se mettent en place contre le VIH. Elles ont pour objectif de débarrasser l’organisme des virus et des bactéries, mais malheureusement, ces cellules de défense sont les lymphocytes CD4, qui se feront infecter par le virus et mourront instantanément. Le virus détruit donc rapidement l’immunité.
- La séroconversion : suite à la destruction des CD4, d’autres réactions immunitaires se mettent en place et notamment l’apparition d’anticorps. Ces derniers peuvent contrôler l’infection pendant un certain temps, ce qui fait diminuer la charge virale, mais il ne sont néanmoins pas capables de se débarrasser totalement du virus. Les tests de dépistage pourront voir les anticorps agissant contre le VIH et commenceront à être positifs au bout de 14 jours environ (avant cela, on ne peut détecter ni les virus, ni les anticorps). Au bout de trois semaines, des quantités importantes d’anticorps seront présentes et le test de confirmation anticorps sera définitivement positif.
- L’infection chronique : au bout d’environ trois mois en moyenne, les anticorps permettront au corps de garder un certain équilibre. Ils persisteront tout la vie et retiendront plus ou moins le virus.
- Les infections opportunistes : elles apparaissent lorsque les CD4 sont en dessous de 200, donc lors d’un déficit immunitaire sévère. Au départ, le nombre de CD4 est de plus de 500, mais il diminue lors de la primo-infection. La moyenne pour arriver à un déficit immunitaire sévère est de 10 ans, mais à l’échelle individuelle, il arrive (rarement) que certains patients aient toujours 500 CD4 10 ans plus tard et aillent toujours parfaitement bien. À l’inverse, certains patients ont déjà moins de 100 CD4 au bout de deux ou trois ans.
VI) Complications
Les complications du VIH sont des infections très variées. Les infections opportunistes sont généralement provoquées par des microbes banaux qui profitent de la faiblesse immunitaire du patient pour entrainer des infections sévères.
La candidose œsophagienne
Le candida albicans est un champignon très connu que tout le monde a déjà eu, notamment dans la bouche lors d’une candidose buccale, due à un traitement antibiotique lors d’un épisode viral. Ce champignon disparaît et guérit tout seul, ou avec quelques jours d’antifongique.
Cependant, chez les patients très immunodéprimés, le candida albicans descend sur l’œsophage et entre à l’intérieur de la muqueuse, ce qui provoque une infection de l’organe œsophagien. Ces patients-là ont une perte de poids rapide (en quelques jours) et des douleurs au niveau de l’œsophage lorsqu’ils mangent. Lorsque l’on fait une radio ou une échographie de leur œsophage, on peut voir que leurs muqueuses sont tapissées de ce champignon.

Le zona
Il s’agit du virus de la varicelle. Ayant eu la varicelle durant l’enfance, le patient peut déclencher le zona étant adulte, au décours d’un épisode infectieux. Chez les patients séropositifs, c’est la faiblesse de leur déficit immunitaire qui pourra déclencher un premier épisode de zona, puis parfois un deuxième.
Le zona n’est pas toujours délimité comme on peut l’observer sur la photo ci-dessous. Il est parfois multi-métamérique : il s’étend sur une surface cutanée plus importante et se dissémine. Ce microbe banal peut donc donner une infection potentiellement sévère chez les patients immunodéprimés.

Les infections bactériennes
En particulier les pneumopathies
La tuberculose
Cette infection, en co-évolution avec le VIH, est l’une des plus graves parmi celles que l’on rencontre encore aujourd’hui, notamment chez les patients africains.

La toxoplasmose cérébrale (infection parasitaire)
Environ 50 % des adultes en France sont séropositifs pour la toxoplasmose. Ce parasite du chaton n’est pas dangereux. Le chat excrète le virus dans ses selles et contamine la litière, l’eau d’arrosage ou encore les ovins et bovins. Le plus souvent retrouvé chez le mouton, ce parasite se loge dans les muscles de l’animal qui seront enkystés.
L’Homme sera donc contaminé en consommant du mouton, notamment pas trop cuit, comme il est consommé en France. Aux États-Unis et en Angleterre, le mouton est respectivement consommé bien cuit et bouilli, la séroprévalence de la toxoplasmose est donc beaucoup plus faible dans ces pays.
La toxoplasmose est dangereuse dans deux circonstances :
- chez la femme enceinte, le parasite peut se localiser chez le bébé et donner des infections sévères ;
- chez les patients atteints du VIH et ayant déjà eu la toxoplasmose plusieurs années auparavant. Dès l’apparition du VIH, le patient devient très immunodéprimé, ce qui réactive la toxoplasmose et provoque des abcès cérébraux.

Les cancers
Les cancers d’origine virale profitent également du déficit immunitaire. Ce sont notamment des lymphomes qui sont dus à l’Epstein-Barr Virus (EBV : Virus d’Epstein-Barr), le virus de la mononucléose infectieuse. Dans certaines circonstances, il peut entraîner des cancers extrêmement agressifs, des lymphomes cérébraux primitifs et d’autres types de cancers (le lymphome de Burkitt…).
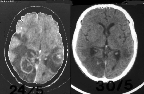
La leucoencéphalopathie multifocale progressive (LMP)

Le VIH a un tropisme particulier pour le système nerveux central. En effet, au moment de la primo-infection, environ 10 % des patients développent des signes neurologiques, et notamment une méningite virale qui guérit toute seule.
Chez les patients très immunodéprimés, on observe une infection du cerveau par le VIH et donc l’apparition d’une démence rapidement mortelle. Le diagnostic doit être fait rapidement, car il s’agit là d’une des rares causes de démence curables. Le traitement antiviral sur les patients ayant des symptômes sévères leur permet parfois de récupérer de façon remarquable.
La Cryptosporidiose (parasitose digestive)
La cryptosporidiose (cryptosporidium) vient de l’animal, et plus particulièrement des bovins. L’Homme l’attrape par contact tellurique avec l’animal, et cela lui donne d’importantes diarrhées pendant 15 jours, voire 3 semaines. La maladie guérit toute seule.
Néanmoins, chez les patients immunodéprimés, la diarrhée est totalement incurable. Dans ce cas, la seule façon de traiter la cryptosporidiose est d’améliorer l’état immunitaire du patient avec un traitement antirétroviral.
Ce genre de parasite était très fréquent il y a une vingtaine d’années, mais aujourd’hui, grâce à l’amélioration de l’état immunitaire des patients, c’est une maladie beaucoup plus rare.

Le CMV (cytomégalovirus)
50% de la population adulte a déjà croisé ce virus par contact : baiser, échange de salive, projection de salive, etc. En temps normal, ce n’est pas une maladie grave, elle donne simplement un syndrome mononucléosidique.
Cependant, la prévalence est beaucoup plus importante dans certains groupes à risque :
- 80-90 % chez les personnes originaires de pays du sud. Il s’agit en quelque sorte d’une maladie de la promiscuité (et également chez les toxicomanes) ;
- chez la femme enceinte, cela peut donner des malformations ou de la surdité au bébé ;
- chez les patients immunodéprimés, cela peut donner des complications infectieuses sévères :
- chez le patient VIH, le CMV donne souvent des rétinites (atteintes de l’œil pouvant conduire à la cécité) ;
- chez les patients transplantés, il s’agit de la première maladie opportuniste, pouvant conduire à différents types d’infections extrêmement sévères.

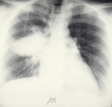
La maladie de Kaposi
Cette maladie est due à un virus de la famille de l’herpès, qu’on appelle l’Herpès-8 ou KSHV (Kaposi’s sarcoma herpesvirus). Elle est due à un virus assez fréquent, qui profite soit d’un terrain immunitaire particulier (déficit immunitaire), soit d’un terrain génétique particulier. La maladie de Kaposi donne des symptômes assez proches de ceux d’un cancer, avec notamment des lésions nodulaires brunes-violacées pouvant faire état de masque.
Au début des années 1980, c’est l’épidémie de Kaposi et l’épidémie de pneumocystose (infection pulmonaire due à un parasite) qui ont amené à découvrir l’infection VIH. Les hôpitaux des côtes ouest et est américaines ont effectué énormément de diagnostics et ont alors découvert que les patients présentaient tous les mêmes caractéristiques : très peu de lymphocytes CD4. Puis, très vite, d’autres groupes épidémiologiques sont apparus : des toxicomanes, des enfants haïtiens, etc.
Chez les patients séropositifs, on a observé une importante perte de poids. Ces patients finissent majoritairement avec un cathéter veineux, une perfusion pour la nutrition parentérale et un traitement. Au final, ils meurent de plusieurs infections à la suite. En effet, on a pu observer que les patients décédés présentaient en moyenne entre 7 et 9 infections opportunistes actives au moment de leur décès. Leur système immunitaire s’était effondré et était totalement incapable de contrer ces infections opportunistes.
VII) Traitements
Aujourd’hui, l’introduction de médicaments permet de bloquer totalement la multiplication du virus. De ce fait, si l’on bloque la multiplication du virus, ce dernier arrête de détruire les CD4 ; et s’il arrête de détruire les CD4, l’organisme – qui continue d’en fabriquer de façon plus ou moins efficace– pourra refabriquer ces CD4 petit à petit.
1) Les antirétroviraux
Les traitements antirétroviraux bloquent la reproduction du VIH, ce qui stoppe la destruction des CD4 et qui permet à l’organisme de rétablir l’état immunitaire.
Ces médicaments interagissent avec le cycle de multiplication du virus :
- L’AZT (Zidovudine) : il s’agit du premier médicament antirétroviral, commercialisé en 1988. À l’époque, malgré le bénéfice de ce traitement, la mortalité continuait d’augmenter parce que l’AZT n’était pas assez puissant pour bloquer totalement le virus. Un seul médicament n’était pas suffisant et le virus était encore résistant. L’AZT apporte donc un bénéfice temporaire et ne permet pas un contrôle complet de l’infection.
- Les antiprotéases : après différentes combinaisons de médicaments entre 1988 et 1996, on décide finalement de combiner les médicaments par trois (trithérapie) en 1996. Ayant compris que la résistance du virus était un réel problème, on change alors de famille de médicaments. On associe des médicaments de la famille de l’AZT avec d’autres familles de médicaments, et notamment des antiprotéases.

Le progrès médical est le plus remarquable et rapide. En effet, le taux de mortalité dû au VIH est divisé par 10 en 18 mois, – alors que, dans les années 90, il y avait presque 5000 décès par an en France, et qu’il s’agissait de la deuxième cause de mortalité des hommes jeunes, juste derrière le suicide.
Aujourd’hui, on compte moins de 1000 décès par an en France, et les causes de mortalité ont évolué : les patients séropositifs meurent du SIDA dans seulement un quart des cas. Dans les autres cas, ils meurent de pathologies liées au vieillissement : ils sont rattrapés par les cancers, les pathologies cardiovasculaires qui augmentent avec le vieillissement.
2) Pourquoi les patients atteints du SIDA continuent d’en mourir malgré tout ?
Le nombre de patients diagnostiqués sur 100 patients séropositifs n’est pas le même que le nombre de patients pris en charge, de patients auxquels on a proposé un traitement antirétroviral, et de patients chez lesquels le traitement antirétroviral est efficace.

En fonction des groupes à risque, on peut voir que :
- il y a très peu d’usagers de drogues parmi les patients séropositifs ;
- le groupe majoritaire est celui des HSH (hommes ayant des relations sexuelles avec des hommes) : sur 100 patients, 83 % sont diagnostiqués et 17% ne le sont pas. Parmi les patients diagnostiqués, 78 % seront pris en charge et 56 % auront un traitement antirétroviral. Au bout de 6 mois de traitement, la majorité des patients aura un virus indétectable, malgré un traitement efficace ;
- chez les femmes et hommes africains, un tiers des patients ne sont pas diagnostiqués et n’ont donc pas de prise en charge. Comme ces derniers viennent rarement à l’hôpital, on a peu d’occasions de leur proposer un traitement, et lorsqu’on leur en propose un, ils ne le prennent généralement pas correctement, ce qui fait que le traitement est inefficace. Seuls 40 % d’entre eux ont un traitement antirétroviral efficace.
Mais il peut se révéler parfois complexe de proposer un traitement à un patient SDF ou à un patient psychotique, par exemple.
Néanmoins, proposer un traitement à une femme africaine ayant été diagnostiquée en pleine grossesse est beaucoup plus simple, car cette dernière comprendra parfaitement que le traitement permettra à son bébé de ne pas être atteint par le virus (d’autant plus que si certains de ses proches sont morts de la maladie, elle y sera beaucoup plus sensible). De même, donner un traitement sous prise directe (DOT) à un patient en prison est plus simple et garantit 100 % d’efficacité.
Un patient non traité a en moyenne 80 000 copies de virus par mL de plasma. 10% des patients ont plus de 100 000 copies. Au moment de la primo-infection, la charge virale dépasse généralement les 1 million de copies. Seulement 5% des patients ont une charge virale très faible, avec moins de 1000 copies par mL.
La charge virale est normalement indétectable en dessous de 50 copies du virus par mL de plasma. Cela ne signifie pas que le virus n’est plus là, mais en dessous de ce seuil qui apparaît généralement au bout de 6 mois de traitement, la maladie et le virus n’évoluent pas.
Aujourd’hui, grâce aux nouvelles techniques, il est parfois possible de détecter des charges virales à 40 copies, à 20 ou même à 10. Néanmoins, les patients sont très souvent indétectables en dessous de 20 copies par mL. Il convient malgré tout de considérer que 50 copies par mL est le seuil significatif.

VIII) Recommandations des traitements
1) Qui traite-t-on aujourd’hui ?
Dans un premier temps, on a commencé par traiter les patients atteints de SIDA dans des stades graves, ayant moins de 100 CD4. Petit à petit, on a augmenté le niveau de traitement. Aujourd’hui, les dernières recommandations sont de traiter tout le monde.
En effet, il y a grand intérêt à débuter un traitement antirétroviral, même lorsque les lymphocytes CD4 sont normaux : un intérêt individuel, d’une part ; un intérêt collectif, d’autre part, car le traitement réduit considérablement la contagiosité des patients.
Cependant, il est possible de ne pas débuter immédiatement le traitement chez les patients ayant à la fois une immunité normale stable et une charge virale très basse (moins de 100 copies par mL). Dans ce cas-là, il est possible que le patient souhaite attendre avant de commencer le traitement. Le praticien doit donc discuter avec lui pour lui faire comprendre que, même s’il n’y a pas d’urgence, il serait beaucoup moins contagieux une fois traité. Malgré tout, il est recommandé de traiter tout le monde.
2) Comment fonctionnent ces traitements ?
Les traitements font appel à des combinaisons de médicaments qui, ensemble, permettent de bloquer la multiplication du virus

- Médicaments qui bloquent la reverse transcriptase :
- les nucléosides (inhibiteurs nucléosidiques de la reverse transcriptase) : Zidovudine (AZT), Lamivudine (3TC), Stavudine (D4T), Abacavir, etc. ;
- les non-nucléosides (inhibiteurs non-nucléosidiques de la reverse transcriptase) : Névirapine, Éfavirenz (Sustiva), etc. ;
- les antiprotéases (inhibiteurs de la protéase leucocytaire) ;
- les inhibiteurs de l’intégrase ;
- Médicaments qui agissent sur la fixation du virus et sur sa pénétration dans la cellule.
Ces traitements sont relativement onéreux en France, avec un coût de 800 € par mois pour 1 comprimé par jour, et 1200 € par mois pour 3 comprimés par jour. Ce coût s’explique par le financement nécessaire de la recherche.
Néanmoins, dans les pays sous-développés tels que les pays africains, les traitements sont les mêmes et les prix sont adaptés : 25 $ par mois pour une trithérapie à 1 comprimé par jour.
Sur 35 millions de personnes séropositives dans le monde, on traite près de 10 millions d’entre elles, dont 90 % avec des médicaments génériques contenant les mêmes molécules, ce qui est très favorable à l’économie mondiale.
3) L’évolution du traitement
En 1996, les premières trithérapies recommandaient de prendre plusieurs comprimés, trois fois par jours, pendant ou en dehors des repas, avec parfois des mesures d’hyperhydratation. À cette époque, la tolérance était globalement médiocre.

Aujourd’hui, la trithérapie consiste en :
- soit la prise de 3 comprimés, une fois par jour ;
- soit la prise d’1 comprimé, une fois par jour, au coucher ;
- soit la prise d’1 comprimé, une fois par jour, au cours d’un repas.
Environ 90 % des patients tolèrent l’un ou l’autre de ces traitements de trithérapie sans aucun problème.
4) Qu’observe-t-on sous traitement ?

D’après une étude de commercialisation de médicaments antirétroviraux, on observe que :
- la charge virale du patient traité par trithérapie s’abaisse très rapidement et devient indétectable au bout d’un certain temps ;
- le pourcentage de patients ayant un virus indétectable s’accroît avec le temps (en général entre trois et six mois), et les CD4 augmentent car le système immunitaire se relance, même s’il était extrêmement détruit durant la primo-infection. Chez certains patients, le nombre de CD4 augmente très rapidement et ils retrouvent une immunité normale ; chez d’autres, leur taux de CD4 reste faible et augmente très lentement, même après 10 ans de traitement ;
- des effets secondaires, et notamment le syndrome de lipodystrophie, qui présente deux aspects :
- une lipoatrophie : disparition de la graisse du visage, des membres, des fesses, un pli tricipital (qui permet de mesurer le taux de graisse) faible. Ces effets sont causés par les médicaments proches de l’AZT, que l’on n’utilise plus depuis plusieurs années et donc que l’on ne rencontre plus, sauf chez les patients ayant pris de l’AZT il y a une vingtaine d’années ;
- une obésité tronculaire : en moyenne, les patients prennent du poids en vieillissant, mais ici, il s’agit d’un syndrome lipodystrophique (de la graisse inter-viscérale entre les organes). Cet effet indésirable était également provoqué par les premières trithérapies et est donc très rare aujourd’hui (sauf chez les patients ayant été exposés aux antirétroviraux par le passé).
Aujourd’hui, on peut observer que le taux de mortalité lié au SIDA est en nette baisse depuis 2000.
L’espérance de vie d’un patient séropositif traité est supérieure à 70 ans. Cela signifie que, si le patient a contracté le virus à l’âge de 30 ans, il a encore 40 ans d’évolution devant lui. Il est bien entendu possible que le patient meure plus tôt à cause d’un cancer, par exemple, mais l’espérance de vie des patients séropositifs est actuellement presque la même que celle de la population générale.

IX) Transmission
1) Transmission Mère-Enfant

Aujourd’hui, en France, la transmission materno-infantile du VIH est inférieure à 1 %.

Néanmoins, il est possible qu’une femme enceinte transmette le virus au bébé principalement à 2 moment :
- soit vers la 28ème semaine,
- soit au moment de l’accouchement.
Pour prévenir cette transmission, on prescrit un traitement antirétroviral à la mère pendant la grossesse. On considère qu’il est préférable de le débuter le plut tôt possible, afin que le virus soit indétectable au moment de l’accouchement (ou avant, si possible).
Il est également interdit d’allaiter, même si le virus est indétectable, car le risque augmenterait alors de 15 %.
Dans les pays sous-développés, l’OMS recommande de ne pas allaiter si l’approvisionnement en eau et en lait maternisé n’est pas correct, et si les conditions d’hygiène sont mauvaises. L’allaitement reste néanmoins bénéfique à l’enfant. Dans ce cas, on limite alors les risques en traitant les femmes (afin de réduire les risques lors de l’allaitement), en traitant la mère et l’enfant, en limitant la période d’allaitement, et en s’assurant que le système immunitaire de l’enfant est le plus vierge possible lors de l’allaitement.
Le système immunitaire digestif de l’enfant se développe à partir de la première cuillerée de nourriture (blédine, par exemple), car on introduit des antigènes dans le système digestif du bébé à ce moment-là. De ce fait, l’enfant deviendra très réceptif au VIH. Mais tant qu’il n’est nourri qu’au lait, le risque reste moindre.
Si la femme a un virus indétectable, elle peut accoucher par voie normale. La césarienne n’aura d’intérêt que si le risque de transmission est élevé (par exemple, si la femme a été prise en charge tardivement et que le traitement n’a pas eu le temps de faire effet). La césarienne réduit le risque de moitié, c’est pour cela qu’il est primordial de faire une sérologie en salle d’accouchement afin de voir ce qu’il convient de faire : accouchement par voie normale ou césarienne.
Après la naissance, on traite le bébé avec un mois d’AZT et on le surveille. L’enfant naît avec les anticorps de sa mère, ce qui signifie qu’il est positif aux tests de dépistage (et donc qu’il est séropositif).
L’enfant mettra entre 18 mois et 2 ans pour perdre ces anticorps maternels. Il est donc compliqué de faire un diagnostic précis avant l’âge de 2 ans. Pour savoir rapidement si l’enfant est séropositif, on dosera la charge virale à la naissance, à 1 mois, à 3 mois, puis à 6 mois. Si ces quatre charges virales sont négatives, cela signifie alors que l’enfant n’est pas infecté par le VIH.
Selon une étude effectuée en Colombie Britannique, le risque de transmission dépendrait du niveau de la charge virale. En dessous de 400 copies par mL de plasma, le risque de transmission serait faible, voire inexistant.

Dans cette étude1, on a voulu définir le niveau de risques de transmission liés au traitement, et on a donc mis au point une étude sur 10 000 couples : stables, discordants, essentiellement hétérosexuels, l’un des deux partenaires étant séropositif mais ne nécessitant pas de traitement immédiat (CD4 compris entre 350 et 550, selon les définitions de l’époque), et l’autre étant négatif. Ces couples ont été randomisés et on a donné une trithérapie (un traitement efficace) aux patients séropositifs de la première moitié du groupe. La seconde moitié devait attendre que les CD4 baissent sous le seuil avant de débuter le traitement.

On a observé que :
- Les partenaires des personnes séropositives qui avaient été traités immédiatement ne présentaient pratiquement pas d’infection ;
- Les partenaires des personnes séropositives dont le traitement avait été différé présentaient des infections.

Bien que ces résultats soient plutôt bons, on n’atteint pas encore les 100 %, et l’on ne peut donc pas recommander aux couples d’avoir des rapports non protégés, même s’ils ont un traitement efficace.
Cette étude n’est néanmoins valable que pour les risques entre hétérosexuels, on ne dispose pas encore d’étude équivalente pour les HSH. Il ne faut pas faire d’amalgame, bien que ces données soient très solides et garantissent que le traitement réduit la transmission du virus, cela n’abolit en aucun cas la transmission du VIH.
3) L’exposition sexuelle
À l’époque de cette étude, on envisageait un traitement pour limiter les risques en cas d’exposition au VIH.
Aujourd’hui, si la personne séropositive a une charge virale indétectable, on ne lui recommandera pas de traitement post-exposition (sauf dans la situation à plus haut risque qui est celle du rapport anal réceptif sur le partenaire négatif). Inversement, si la charge virale est détectable, le traitement antirétroviral post-exposition sera recommandé.

On prend désormais en compte le statut de la personne source avant de lui proposer un éventuel traitement : statut séropositif connu ou non, appartenance à un groupe à risque, sous traitement antirétroviral efficace, etc. Ainsi, on adaptera la prise en charge en fonctions de toutes ces observations.
S’il est impossible d’identifier le statut de la personne source, il faudra se baser sur la notion d’appartenance ou non à un groupe à risque.
Les groupes à risques sont :
- les personnes ayant des partenaires multiples (homosexuels surtout, mais hétérosexuels également, prostituées, etc.) ;
- les personnes originaires d’une région où la prévalence du VIH est supérieure à 1% (les africains, les antillais…) ;
- les usagers de drogue ;
- les situations particulières dans lesquelles il y a un risque plus important par la présence de saignements et d’un grand nombre de virus (viol, IST, ulcérations génitales…).
Si la personne source appartient à l’un de ces groupes, on lui recommandera alors un traitement. Sinon, dans le cas de rapports entre hétérosexuels français sans situation particulière, on effectuera simplement une surveillance sérologique, car on considère que le risque est faible. Bien que cela ne signifie pas qu’il y a impossibilité de s’infecter, le risque reste faible pour un rapport.
4) Le cas des couples sérodiscordants
Selon l’étude de la charge virale en Colombie Britannique, dans le cas d’un couple sérodiscordant (hétérosexuel ou homosexuel), s’il y a un accident de préservatif mais que la personne source est sous traitement efficace, on ne proposera aucun traitement antirétroviral (sauf dans le cas d’un rapport anal réceptif).
5) Le cas des AES
Dans le cas du suivi des AES (accidents d’exposition au sang), il est impossible de faire une charge virale au bout de 48 heures. Il faut attendre et faire une sérologie entre 4 et 6 semaines plus tard.
Références
- Cohen, Myron S., Marybeth McCauley, et Theresa R. Gamble. « HIV treatment as prevention and HPTN 052 ». Current opinion in HIV and AIDS 7, nᵒ 2 (mars 2012): 99‑105. https://doi.org/10.1097/COH.0b013e32834f5cf2.[↩]














